Skip to main content

Radiology advances to benefit healthcare providers, patients

Clinical Center News

Content on this webpage is provided for historical information about the NIH Clinical Center. Content is not updated after the listed publication date and may include information about programs or activities that have since been discontinued.


Oct 01, 2017
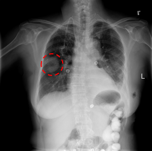
A chest x-ray identifies a lung mass.
Chest x-ray identifies a lung mass.

Over 100,000 chest x-ray images released to scientific community

In late September 2017, the Clinical Center released over 100,000 anonymized chest x-ray images and their corresponding data. The release will allow researchers in the U.S. and around the world to freely access the datasets and increase their ability to allow computers to detect and diagnose disease. Ultimately, this artificial intelligence mechanism may lead to clinicians making better diagnostic decisions for patients.

NIH compiled the dataset of scans from more than 30,000 patients, including many with advanced lung disease. With patient privacy being paramount, the dataset was rigorously screened to remove all personally identifiable information before release.

Dr. Ronald M. Summers, senior investigator in the Clinical Center Radiology and Imaging Sciences Department led the NIH team working on the dataset. Summers hopes that academic and research institutions across the country can use the data for computer-assisted analysis of extremely large amounts of scans, to confirm the results radiologists have found and potentially identify other findings that may have been overlooked.

Mobile devices can be useful for guiding needle-based interventions

Drs. Sheng Xu and Bradford Wood, along with several other leading radiologists in the CC, have created a smartphone app that helps optimize a needle-insertion angle for planning and performing computerized tomography (CT)-guided skin biopsies and ablations.

Today, when an interventional radiologist conducts a CT-guided procedure, they rely solely on their visual perception of the objects in front of them. But by using the app, experts are able to overlay their planned angle on the camera display in real time. The planned angle helps them to guide placement of the actual needle during a procedure.

While their results are still experimental, they are optimistic that smartphone guidance can improve on conventional needle navigation and placement protocols.

In a recent paper, the researchers expressed that, "this tool could be more useful for inexperienced operators or those with minimal training in CT-guided procedures. It may lead to major changes in the field of surgical navigation by offering low-cost solutions."